マウスピース型カスタムメイド矯正⻭科装置

きたざわ矯正歯科では、マウスピース型カスタムメイド矯正⻭科装置(インビザライン)を導入しています。透明で⽬⽴たないマウスピース型の矯正装置により、「装置が⽬⽴つのがイヤ」といった理由で躊躇していた⽅も、矯正治療を受けていただくことが可能です。 また、簡単に取り外しができる装置のため、⾷事の制限がなく、今まで通り⻭磨きやフロスを使うこともできるので、お⼝を清潔に保つことができます。
また、マウスピース型カスタムメイド矯正歯科装置はプラスチックでできているため、金属アレルギーの方も安心してご使用いただけます。
治療前後
子供の叢生(そうせい/でこぼこ)マウスピース矯正(インビザラインファースト)
![]() |
![]() |
|
![]() |
||
![]() |
![]() |
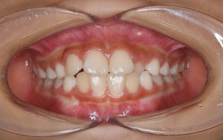
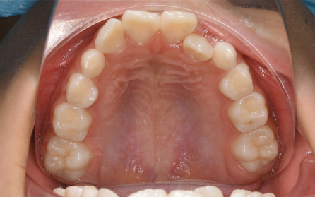
8歳 女児
主訴 「前歯がでこぼこで、反対になっている」
診断 「側切歯のクロスバイトを伴う叢生症例」
第一期治療(成長期の治療)では、狭窄歯列による上下前歯部の叢生の改善のため、歯列弓の拡大を行いました。患者さんの協力(マウスピースの使用状況等)も良好で、歯列の拡大により得られたスペースは十分で側切歯(2番目の歯)のクロスバイトも改善されました。治療期間は15か月で、今後は乳歯から永久歯への生え変わりの経過観察に移行します。すべての歯が永久歯になる頃(12歳頃)に第二期治療(仕上げの治療)が必要になることもありますが、この患者さんの場合はその可能性は低いと考えられます。
矯正治療では患者さんの協力が非常に重要で(特にマウスピース矯正の場合は使用時間)、治療結果や治療期間に影響します。また、マウスピース矯正であっても虫歯や歯肉炎・歯周病のリスクもあるので、ブラッシングがとても大切です。
第一期治療の費用は、毎回の調節料3,000円x15回程度を合計するとおよそ50万円くらいです。
リスクについては矯正治療のリスクのページ、費用については矯正治療の費用のページをご覧下さい。
大人の叢生(そうせい/でこぼこ)マウスピース矯正(インビザライン)
![]() |
![]() |
|
![]() |
||
![]() |
![]() |
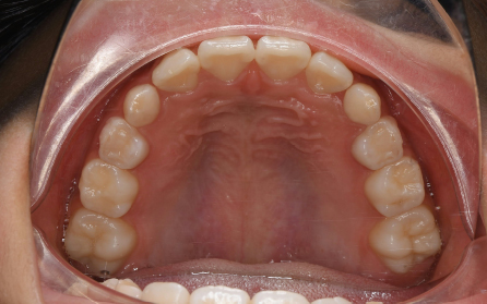
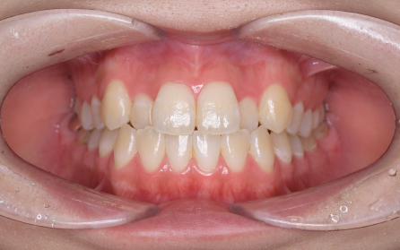
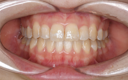
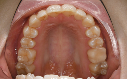
19歳 女性
主訴 「前歯のでこぼこを治したい」
診断 「両側側切歯のクロスバイトを伴う叢生症例」
上下前歯部の叢生の改善のため、歯と歯の間を0.5mm程度削ってスペースを確保しながら歯を並べました。患者さんの協力(マウスピースの使用状況等)も良好で、前歯が前方に突出することなく側切歯(2番目の歯)のクロスバイトも改善されました。前歯が突出しないように治療計画をたてないと口唇が閉じにくくなったり、口元がもっこりしてしまいます。治療期間は18か月でしたが、動的治療後は歯を安定させるために保定装置の使用が必要です(最低2年)。矯正治療では患者さんの協力が非常に重要であり(特にマウスピース矯正の場合は使用時間)、治療結果や治療期間に影響します。また、歯の移動にはワイヤー矯正、マウスピース矯正にかかわらず歯根吸収、歯肉退縮、歯髄壊死のリスクがあります。
治療の費用は、毎回の調節料3,000円x18回程度を合計するとおよそ85万円くらいです。
リスクについては矯正治療のリスクのページ、費用については矯正治療の費用のページをご覧下さい。
治療上の注意点
マウスピース型カスタムメイド矯正歯科装置には重要な注意点があります。詳しくは「公益社団法人 日本矯正歯科学会 ポジションステートメント マウスピース型矯正装置による治療に関する見解」をご覧下さい。
- 適応症があります
マウスピース型カスタムメイド矯正歯科装置は全ての不正咬合を治すことはできません。精密検査の後、治療可能かどうかの診断がとても重要です。 - 治せない症例もあります
マウスピース型カスタムメイド矯正歯科装置だけでは治せない症例もあります。マウスピース矯正の前後で奥歯にワイヤーを使用したりすることもあります。 - 装着時間の厳守が必要です
1日20時間という装着時間を厳守しないと治療効果を発揮できません。
未承認医薬品を用いた治療について
- ① 未承認医薬品であることの明示 マウスピース型矯正装置(インビザライン)は、薬機法上の承認を得ていません。
- ② 入手経路 マウスピース型矯正装置(インビザライン)は米国アライン・テクノロジー社の製品であり、アライン・テクノロジー・ジャパン社を介して入手しています。
- ③ 国内の承認医薬品等の有無の明示 国内でもマウスピース型矯正装置(インビザライン)に似た装置があり、国内で薬事承認されているものもあります。日本で医療機器としての矯正装置と認められるものは、次の2点を満たしたものです。
・薬事承認されている材料を使用していること
・既製品の場合は、その装置が薬事承認されていること
※日本の国家試験に合格した歯科医師もしくは歯科技工士が製作した矯正装置の場合は、医療機器ではなく「歯科技工物」に該当します。 - ④ 諸外国における安全性等に係る情報の明示 マウスピース型矯正装置(インビザライン)は、世界で1700万⼈以上(2023年12月末現在)に使用されている矯正装置で、FDA(米国食品医薬品局)により医療機器として認証を受けています。日本においては、薬機法未承認の矯正歯科装置であり、医薬品副作用被害救済制度の対象外となる場合があります。









